编辑:ddayh.cn
上次说到王大爷近年来膝盖疼的越来越厉害,从开始上下楼疼,到现在走平路都坚持不了多久,下蹲也蹲不下去,时常还会出现关节肿胀、交锁等情况。
王大爷在家人的陪同下来到了骨科门诊。医生详细问了问病史,摸了摸他的膝关节,又让他去拍了双膝关节站立正侧位X片子后,做出了如下诊断:双膝关节重度骨性关节炎。
到底这是一种什么病呢,我们接下来听故事:
王大爷(王):大夫,我这得的是个什么病?
大医生(医):您的病叫骨性关节炎,是一种全身性的疾病,而您主要体现在膝关节上。
骨性关节炎又叫老年性关节炎、肥大性关节炎、退行性关节炎等,也就是老百姓说的张骨刺了、骨质增生了,它是累及全身关节软骨的疾病。
软骨就是脆骨,我们在啃鸡骨头、猪骨头的时候,关节部位白白的那一层"骨头"就是软骨,人的关节也被这一层软骨覆盖,主要作用是润滑以允许关节间的活动。
它的表面没有神经分布,但下层的骨质是有神经的,因此当软骨损伤、暴露下面的骨质时,我们就会感觉到疼痛、肿胀、发僵等不适,这也就是骨性关节炎的常见症状。
王:那我为什么会得这个病呢?
医:这个病跟年龄有很大关系,这也就是为什么它又叫老年性关节炎。
关节像轴承一样,软骨就像轴承的表面,随着使用年限的增加,轴承渐渐的磨坏了,这个病就出现了。有的人基因好,90岁还没发病,有的人基因差,可能40岁就有症状了。
另外这个病还和体重超标、早年的关节损伤、过度的使用关节有关,只要您把膝关节想像成一个汽车轴承就都好理解了。
除了以上的原因外,一些其他疾病会合并骨性关节炎,比如血友病性关节炎、大骨节病、骨坏死、痛风、假痛风性关节炎、类风湿关节炎等。就您来看,应该是单纯的年龄相关的骨性关节炎。
王:大夫,我插一句,轴承磨坏了,为什么会长出骨刺来?是不是刺扎的疼?要不要把骨刺弄掉?
医:骨刺可以说是人体的一种保护机制,不需要特殊处理。为什么这么说呢?
当软骨损伤时,周围韧带变得松弛,关节变得不稳定,会进一步加重关节的磨损。
此时,机体为了让关节更稳定,便在周围增生出骨质来增加关节的接触面积并且使周围韧带绷紧,这样关节就更耐用了;但到了疾病后期,骨刺会变得没有规则甚至断裂掉进关节腔成为游离体,进一步损伤关节,这时就要管管了。
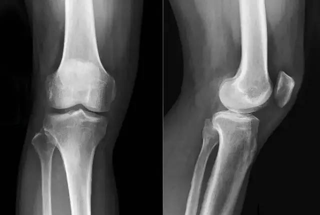
另外,关节科医生可以通过X片上的骨质增生的情况来判断患者关节炎的严重程度。(下图均为右膝)
     
正常的膝关节片子
     
王大爷的片子
王:从我的片子上看,我的膝盖现在发展到什么程度了?
医:上图是您右膝的负重正、侧位片,下图是一组正常的膝关节片子。
对比可以看到,您的正位片提示:膝关节骨端明显畸形,内、外侧间隙均变窄甚至消失(红箭头),软骨下骨硬化(绿箭头),关节边缘呈唇样变(黄箭头);侧位片提示:髌股关节骨质增生(黑箭头),后髁骨质增生(橙箭头),胫骨平台骨质囊性变(蓝箭头)。
变窄的关节间隙、几个明显的大骨赘以及周围软组织的挛缩是导致关节活动受限的罪魁祸首。结合临床表现、查体和X片,您诊断为右膝关节重度骨性关节炎,已经到了很严重的程度了!
王:哦,我明白了!这个病吃药能好吗?还是必须要做手术?
医:您的症状及进展非常典型(王大爷的早期症状请见文末"阅读原文"链接),早在第一阶段也就是疼痛刚开始就应来院检查。
早期干预主要是生活、运动方式的调整,包括:控制体重,避免剧烈运动,避免频繁爬楼、登山、打太极等负重屈膝的活动,锻炼身体最好以游泳、走平路的方式。
中期出现突发的疼痛加重可以短期服用非甾体类抗炎药(也就是消炎止疼药)、长期服用氨基葡萄糖(虽然有争议,以后的文章将进一步介绍),或物理疗法;如出现关节肿胀可以找关节专科医生进行关节腔穿刺抽液,并注射玻璃酸钠以润滑关节;明确有软骨或半月板损伤,关节腔内有游离体时,应进行微创膝关节镜检查并治疗。
向您这样到了疾病晚期,疼痛加重、关节活动明显受限、生活质量严重受影响时,需 要进行人工关节表面置换术也就是老百姓说的换关节了。
王:这个手术我听说过,是个大手术,我需要和家人商量一下。
至于王大爷该如何抉择,医生会给他提供什么样的建议……更多内容,下一期再跟您分享!
医生提醒您:
骨性关节炎(OA)又称为老年性关节炎、肥大性关节炎、退行性关节炎,是一种退行性病,即由于老化引起的全身性软骨疾病,除了基因外,与高龄、超重、劳损、创伤等因素有关。就像人的年龄不可逆一样,骨性关节炎只会进展而不是相反。医学上早期干预的目的是延缓关节炎的进展速度,让关节更耐用;晚期干预的目的是缓解疼痛和恢复关节活动度,以提高生活质量。
骨刺、骨质增生是OA常见的影像学表现,它们可以看作是人体出现病变后的反应,也是疾病严重程度的重要表现。临床上无需针对骨刺进行治疗,但手术中(膝关节置换术)会根据需要清理增生的骨质。
热门创伤科