编辑:ddayh.cn
网络咨询已经成为广大患友寻医问药的“新常态”。
经常有患者朋友发来胸部CT片让我看,但是经常接到病人发来的片子翻拍质量太差,无法使用。有时候为了看清楚CT片,往往需要和患者朋友沟通好久才能拍出一张通过网络传过来以后仍然能看的照片。
最佳方案?现在随着云计算等先进技术的应用,很多医疗机构的片子以及可以在线查阅,这种服务叫做“影像云”。患友们可以向看病的医疗机构询问,这无疑是最佳的传输途径,保证片子的“原汁原味”,是我个人最喜闻乐见的形式。


如果医疗机构不能提供“影像云”服务,病友们拿到的还是传统胶片,我给大家讲讲怎样用手机高质量的拍好您自己手里的CT片,提高沟通效率。
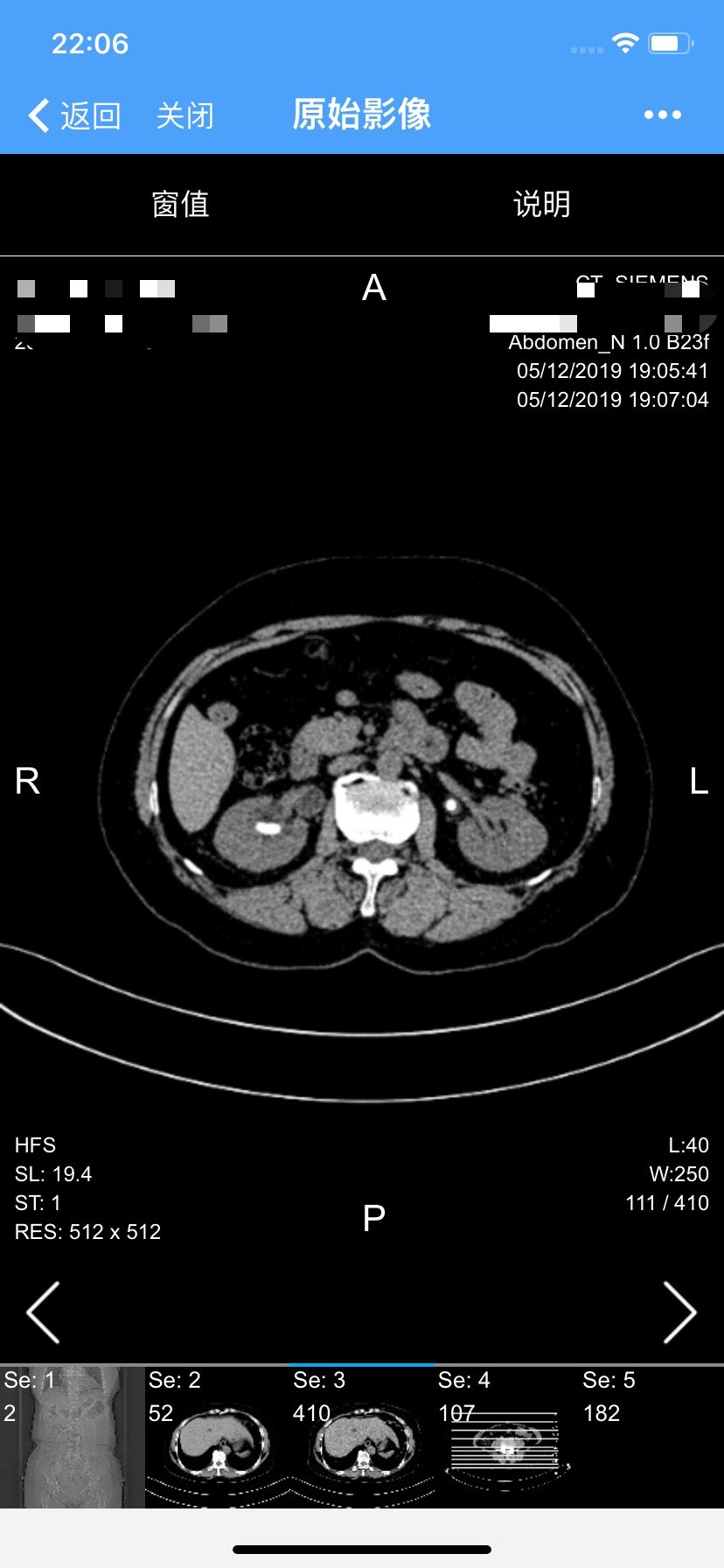
以腹部CT,也就是泌尿系CT片为例。
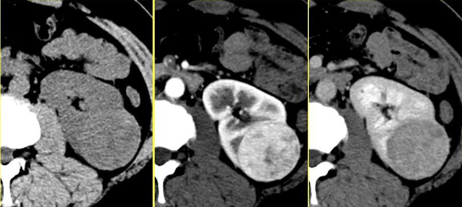
我们从医院拿回来的泌尿系CT片,通常有三组,一组上面的肾脏是灰色的,这是“平扫期”的片子;另外一组片子上面的肾脏边缘是白色的,这是“动脉期”,也叫“皮质期”。还有一组片子上面的肾脏内部是白色的,这是“实质期”,也叫“髓质期”。

? ? ? ? ? ? ? ? ? ? ? ? ? ? ? ? ? 平扫期? ? ? ? ? ? ? ? ? ? ? ? ? ? ? ? ? ? ? ? ? ? ? ? ? ? ? ?动脉期? ? ? ? ? ? ? ? ? ? ? ? ? ? ? ? ? ? ? ? ? ? ? ? ? ? ? ?实质期
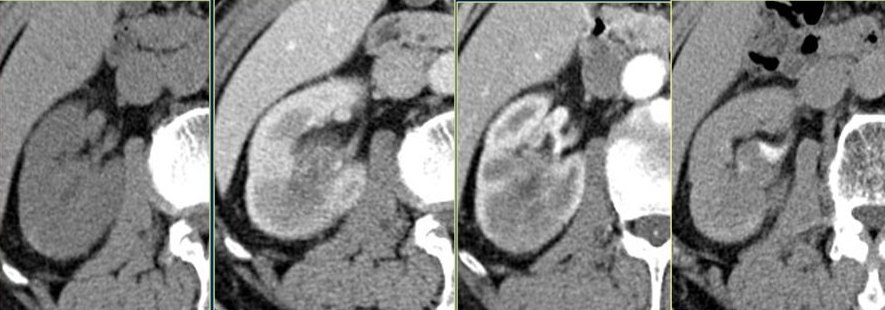
由于泌尿系统疾病的特殊性,绝大多数医疗机构的泌尿系CT,往往还有第四组片子,即“排泄期”,

? ? ? ? ? ? ? ? ? ? ? ? 平扫期? ? ? ? ? ? ? ? ? ? ? ? ? ? ? ? ? ? ? ? 实质期? ?? ? ? ? ? ? ? ? ? ? ? ? ? ? ? ? ? ? ?动脉期? ? ? ? ? ? ? ? ? ? ? ? ? ? ? ? ? ? ? ? ? 排泄期
接下来是拍照的步骤。
1.把CT片子对着白色光源,用手机给CT片子照相即可。
首选方案??把家里的电脑屏幕或电视屏幕调成纯白色(模拟医院的阅片灯,想必患友们去医院都见过),亮度调亮一些

次选方案??趁白天有光线充足的时候,把CT片子按在或贴在窗户上拍照(尽量选择外无遮挡物的窗户)。

实在不行,家里的日光灯管是很好的白色光源。
2.把CT片子摆成正确的方向。仔细看看CT片子上的英文字母或者汉字,把字母或者汉字的方向摆正了,CT片子的方向就正确了。我经常收到方向千奇百怪的CT图像,上下颠倒,左右颠倒,甚至正反颠倒,根本不能阅片。按照下面的方向摆,就对了。

3.把手机横过来,给CT片子按照从上到下,从左到右的顺序拍照。一张CT片子,最好分成六次拍照。左上,右上,左中,右中,左下,右下。大部分患者拍照,都是一张CT片子只拍一张照片就传过来了,这样根本看不清楚。排成下图这样的清晰度最好。四个格格一张图,最清楚。

4.拍好以后,按顺序逐个上传。
麻烦患者朋友拍照的时候参考一下我上面的建议,您的照片拍得越清楚,我对您的病情判断就越准确。
友情提示:
有的朋友上传照片时会遇到网站提示文件过大,这样的情况需要您把拍照手机的分辨率稍微降低一点再拍照,文件就会小一些了。
在能上传的前提下,照片分辨率越高越好。
朱鹤? 副主任医师
泌尿外科(男科)
北京大学医学博士?
中日医学科技交流协会理事
中国性学会泌尿外科分会委员
CACA-GU微创学组委员
美国泌尿外科学会国际会员
吴阶平泌尿外科中心特聘专家
热门泌尿外科