编辑:ddayh.cn
临床工作数年,接诊过不同年龄段的腰椎间盘突出症患者,但是,如此小年龄腰椎间盘突出症患者症还为数不多,现有两例患者介绍给大家,警示大家青少年也可能会患腰椎间盘突出症的。
第一例:腰椎间盘突出症患者,生日2001-12-18,就诊时间2014-7-29。患者的实足年龄12岁7月。既往患者在11岁时有滑雪腰部外伤病史。腰痛病史1年,腿痛病史1月余。
查体:弯腰受限,直退抬高受限。下肢肌力感觉、肌力正常。
治疗:原则上保守治疗,避免久坐、避免剧烈体育活动。腰部围腰保护。随诊
站立
弯腰
健侧抬腿正常
患侧抬腿正常
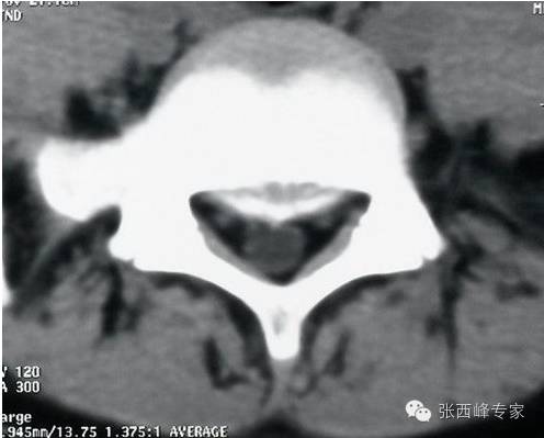
CT腰5骶1椎间盘突出
核磁矢状位腰5骶1椎间盘突出
水平位腰5骶1椎间盘突出
水平位腰5骶1椎间盘突出
第二例:2004年7月6日出生。
主诉:腰痛半年,加重伴腿痛1月
这就是下肢直退抬高阳性,患腰椎间盘突出症的患者都可以试试。
这是正常的下肢功能状态,与患侧下肢进行对照。
弯腰受限
不可思议,这么小的孩子,影像学确诊是腰椎间盘突出症。
?
作为(大人)家长,要时刻关心自己(的)孩子的身体状况。不要认为青少年不会患腰椎间盘突出症,孩子也会发生腰椎间盘突出症的。
热门脊柱科