编辑:ddayh.cn
老百姓对身体出血非常敏感,任何部位出一丁点血就会惊慌失措,认为是不是病入膏肓了。就像电视剧里经常有这样的镜头,某个人一直咳嗽,然后拿手帕捂住嘴,一口血吐出来,在导演安排下,这个人基本上时间不多了。肺癌病人吐血丝,其实就是痰中带血,这是非常常见的一个症状,就像咳嗽一样。

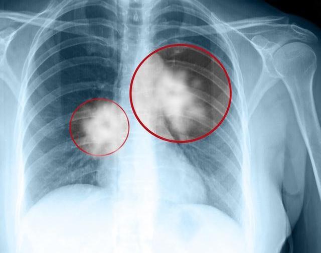
以痰中带血为首发症状的肺癌约占所有肺癌的20%,肺癌出现痰中带血一般系中央型肺癌居多,周围型肺癌很少出现痰中带血。这是因为中央型肺癌一般临近肺门,当肿瘤侵犯小血管或者毛细血管时会出现少量出血,并从支气管排出,表现为痰中带血。肿瘤浸润血管壁是个缓慢的过程,所以肺癌咯血的特征为间断性或持续性、反复少量的痰中带血丝,或少量咯血。另外肿瘤组织血供丰富,且都是畸形血管,剧烈咳嗽时会引起肿瘤内小血管破裂而致出血。

所以吐血丝并不是判断肺癌严重程度的指标,很多早期中央型肺癌也会出现痰中带血,而极晚期的周围型肺癌并不会出现痰中带血。还有一些小细胞肺癌肺部病灶很小的时候就出现骨转移、脑转移,这才是非常严重的。不过这个提问者已经说了肺癌后期,那说明分期很晚,病情已经很严重了,治疗上可能只能选择止血等对症治疗。如果肿瘤组织巨大,且出现癌性空洞时,或者肿瘤侵犯大血管,也可能出现大量咯血,大咯血有可能引起患者出现窒息,引起呼吸衰竭和休克,甚至死亡。

出现痰中带血怎么办?首先要保持镇定,少量痰中带血不需要特殊处理,积极治疗原发病才是根本,中央型肺癌可以选择局部放疗,出血量略多时可以口服一些止血药物,或者使用一些静脉止血药。肿瘤破坏血管引起的出血,药物止血效果可能不太理想,如果出血量多如大口吐鲜血则是疾病发展到较为严重阶段,要用止血药和内镜下止血结合治疗。

肺癌后期了,无论吐血丝还是不吐血丝都是严重的,所以重点是早发现,早治疗,对于40岁以上的高危人群,一定要积极的进行肺癌筛查,每年一次的肺部低剂量螺旋CT检查,早期肺癌的病人经过治疗后可以达到治愈,肺癌晚期病人的预后与早期肺癌相比则有天壤之别。
热门呼吸内科