编辑:ddayh.cn
股骨颈骨折是临床常见病,由其继发的股骨头坏死则是众人皆知的疑难病。由于股骨头血运的特殊性,在股骨颈骨折的瞬间,就注定了后期发生股骨头坏死的巨大风险;儿童、青少年患者还会继发股骨近端发育不良、髋关节脱位等病变。
图1?股骨颈血运,骨折的瞬间,注定了后期可能发生股骨头坏死?
图2?股骨颈garden 4型,坏死率极高
图3?女,19岁,股骨颈骨折10余年,继发股骨头坏死、股骨颈短缩畸形,下一步治疗面临艰难的选择
道高一尺,魔高一丈。
我们无法避免股骨颈骨折继发股骨头坏死,但总有一些措施可以降低股骨头坏死的风险。
1、老年人股骨颈骨折
这个年龄段最常见,被称为"骨质疏松性骨折"、"人生中最后一次骨折"。很多老年人骨折以后,因为年龄、心脏病、高血压等诸多原因,不得不面临两个艰难的选择:
选项A.做手术还是不做手术?
选项B.打钉子还是换股骨头?
这个问题需要分两种情况来考虑:
a、无移位型
骨折仅仅有裂缝,或者完全骨折且折端嵌插。这种类型对血管的损坏小,骨折最容易愈合,不容易发生坏死。空心钉固定可确保骨折不移位,便于护理和日常活动;股骨头置换可以1周左右即下地行走,8周左右丢拐,方便快捷,而且不需长期吃接骨药。
图4 ?女,60岁,股骨颈骨折未重视致移位
不做手术也可以:只要能维持骨折端的稳定(如卧床牵引、支具固定等),6~8周骨折愈合也不是没有可能,但家属及病人需要接受严峻的考验:精心的护理以减少卧床并发症、长期维持肢体位置以避免骨折移位。
图5 ?女,85岁,股骨颈骨折经药物治疗2个月,骨折线模糊,疼痛消失,能自行扶拐下地行走?
b、移位型,打钉或换头
高龄老人骨折端错位,指望骨折愈合几乎是不可能的(尤其是头下型、Garden3、4型)。如果病人能耐受手术,首选人工关节置换;反之,身体条件差,则对症治疗,局部疼痛能耐受以后,拄拐自行活动,但别指望骨折能愈合,减少病人痛苦就算达到目的。
图6?女,88岁,股骨颈骨折人工股骨头置换
2、中青年股骨颈骨折
中青年股骨颈骨折需努力保头治疗,无论移位与否。
a、无移位型
治疗同老年人,建议积极手术治疗,长期卧床容易导致肌肉萎缩、髋膝关节僵硬、腰椎侧弯、废用型骨质疏松等并发症;对于依从性强的病人,也可以考虑卧床、药物治疗,但要让病人充分知晓可能的并发症。
图7?男,43岁,股骨颈骨折后行钉子鞋固定,口服接骨中药,1个月后骨折线即消失,随访至5个月骨折愈合良好,股骨头未见坏死,但股骨近端明显骨质疏松
b、移位型
一定要手术治疗。治疗方法可选择闭合复位内固定、切开复位加强内固定、切开复位内固定骨瓣移植术等。
图8?三点三角形固定模式:三枚空心钉在空间呈三角形布局,钉体贴近股骨颈皮质,钉头达软骨下骨;坚强固定利于骨折愈合
图9?坚强固定利于骨折愈合,51岁女性术后3个月发生骨折端吸收、钉尾滑动,但并未影响骨折愈合
图10?男,52岁,股骨颈骨折坚强固定,有利于骨折愈合
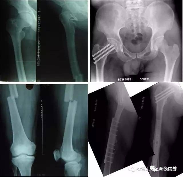
股骨颈骨折应用接骨板固定创伤大、失败率较高,不建议常规应用。
图11?男,50岁,股骨颈骨折接骨板内固定3年不愈合
3、儿童股骨颈骨折
儿童股骨颈骨折必须保头治疗,无论难度如何。石膏外固定因护理困难、关节僵硬发生率高,渐渐已少用。
手术内固定牢固,便于早期功能锻炼,亦能达到患者家属的复位要求,临床应用较多。内固定以牢靠固定、不损伤骨骺为原则,常用的方法有空心钉、克氏针、外固定架等,由医生根据实际情况进行选择。?
图12?儿童股骨颈骨折,应用起重机架外固定,2个月即愈合拆除外固定架
车祸伤、高处坠落伤等高能量损伤致股骨颈骨折的病例,可能还合并有其他部位的骨折,如:开放性骨折脱位,合并股骨头骨折,合并髋臼骨折,合并股骨干骨折,合并颅脑损伤等全身严重并发症。?
图13 ?极为罕见的病例:股骨头开放性脱位,股骨头坏死风险极大?
图14同侧股骨颈、干骨折分别内固定,愈合满意
图15?男性,30岁,同侧股骨颈、干、髁、髌骨骨折, 术后2个月各部位愈合顺利,肢体功能满意
此类高能量损伤需权衡重点,兼顾全身,充分考虑患者的生活需求,选择熟练、有信心的治疗方式,提高手术成功率,术后康复指导紧密跟进,延长拄拐时间,降低股骨头坏死的风险。
股骨颈骨折的愈合过程为一期愈合,与四肢长管状骨二期愈合折端有明显骨痂截然不同,加大了判断股骨颈骨折是否完全愈合的困难。
大多数病人在股骨颈骨折术后急于丢拐,或出于疼痛缓解,或出于"面子"问题。实际上,股骨颈骨折的愈合过程缓慢,更多的病例在愈合结束以后的2~5年才刚刚出现坏死。因此,股骨颈骨折丢拐的时间,一定要有影像学证据的支持,MRI对骨折是否愈合、是否早期坏死参考价值大。若骨折延迟愈合则要适当延长拄拐时间,过早丢拐增加坏死风险。
国人对内固定留在体内是比较"耿耿于怀"的,大有不把钉子取出来誓不罢休的态势,其实大可不必。理由如下:
1、股骨颈空心钉不同于大腿骨折的接骨板内固定,其对骨的应力遮挡非常小,没有必要取出;
2、一旦股骨头出现坏死,可在取出空心钉的同时行微创病灶清除植骨术;
3、文献亦有报道,采用微创植骨+空心钉支撑的方式治疗股骨头坏死。所以,为心理感官取出空心钉,实属多此一举、没死(事)找事!?
图16?男,30岁股骨颈骨折术后不愈合、坏死
股骨颈骨折一旦愈合缓慢,折端不稳定将逐渐显现,坏死风险必然增加。
怎么办?看运气?还是听天由命?
积极一些、勇敢一点,请相信医生和您的心情一样,绝对会努力救治!
股骨颈骨折术后出现股骨头坏死是不幸的,好的结局在于第一时间确诊并采取积极的治疗措施。
1、积极治疗年轻患者建议延长拄拐时间、药物治疗,或积极行修复手术。或许很多人问,修复的成功性有多大,回答:我们尽力!毕竟,坏死,在受伤的那一刻就注定了。再说了,万一成功了呢?
图17?股骨颈骨折术后坏死的挽救
2、当机立断股骨头坏死进程很快或即将塌陷,别犹豫,该置换人工关节就当机立断吧!中老年病人无谓的拖延,只会徒增伤悲,更会继发骨质疏松、肌肉萎缩、康复期延长……青少年病人除外,耐心治疗,只要有一丝希望,医生绝不会轻言放弃。?
图18?百岁老人,左髋多次摔伤最终左股骨头坏死,行全髋关节置换术
3、"拖"字策略病人拒绝手术或不耐手术风险的,一个字:"拖"。股骨颈周围有坚韧的关节囊包绕,卧床休养一段时间,骨折端锐利的骨茬变钝的时候,疼痛就会有所缓解,股骨头坏死程度再重也不会癌变;如果病人因种种原因不能手术治疗,那就只好拄着双拐拖一拖了,瘸就瘸一点吧,只要不痛或疼痛能忍受,对于某些病人而言既是无奈的选择也是一个不错的结局,毕竟手术换关节的目的也是缓解病人的疼痛。
图19?男,25岁,股骨颈骨折一直拖延12年,跛行,病人自诉疼痛轻微跛行
图20? 上图25岁股骨颈骨折12年病人活动情况
具体情况具体分析,请联系我。
热门关节科