编辑:ddayh.cn
有的人关节脱位后、创伤后或骨折后长时间关节疼痛不适,到医院就诊拍片,医生说“出现创伤性关节炎了”。或者在受伤时医生可能会交待“您这个关节可能会出现创伤性关节炎”。对于创伤性关节炎,估计很多朋友并不陌生,不过这种疾病究竟是怎么回事,真正了解的人可能并不多。
什么是创伤性关节炎?
创伤性关节炎,顾名思义是由于外伤引起的以关节软骨的退化变性和继发的软骨增生、骨化为主要病理变化,以关节疼痛、活动功能障碍为主要临床表现的一种疾病。以青壮年和运动员多见。创伤性关节炎多发生于活动频繁或负重的关节,如膝关节、踝关节、肘关节。?
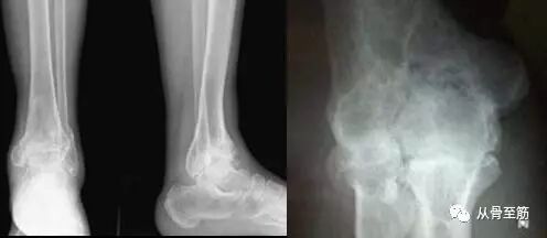
只是扭了一下,又没有骨折为什么会出现创伤性关节炎?
关节扭伤后X光片未显示骨折;或者关节内骨折得到解剖复位,即使X片显示骨折复位并愈合良好,并不意味着关节功能会完全恢复。因为可能同时伴发软骨、半月板、滑膜、韧带、筋膜的损伤,而这些组织在X片上并不显影。
关节畸形(如膝内外翻,踝关节倾斜,肿瘤等)、骨折成角畸形愈合、某些关节活动频繁或经常采取某种特定姿势、重度肥胖或截肢后单侧肢体承重等,均可造成积累性损伤,加重关节面的磨损和破坏。
?
? ? ? ? ? ? ? ? ? ? ??
如何预防或减少创伤性关节炎?
关节内骨折应做到解剖复位,以确保关节面光滑,这也是关节内骨折虽然移位不重,但骨科医生仍要求手术的原因。
关节损伤后采取适当固定以使关节得到充分休息,受损组织得到修复。
适度积极的功能锻炼可以减少关节的肿胀渗出和粘连,减轻软骨退变。
? ? ? ? ? ? ? ? ? ? ? ? ? ? ? ? ? ? ? ? ??
已经出现创伤性关节炎,如何治疗?
1、针对病因治疗
骨折愈合后关节功能活动后较长时间存在疼痛,应及时行磁共振检查。以了解半月板、关节软骨或韧带损伤及修复程度。对于畸形愈合要及早纠正。减轻体重,必要时调整工种。
2、对症治疗:口服止痛药物,活血化瘀中药。
3、物理冶疗包括:直流电疗法;红外线疗法;超声波疗法;磁疗法等等。
4、支具辅助减少关节负重、关节腔注射药物。
5、中医针炙、推拿、整复疗法、中药熏蒸、膏药外贴治疗;
? 6、手术治疗:包括关节镜下关节清理术、截骨矫正术、关节融合术、关节置换术等。
热门脊柱科