编辑:ddayh.cn
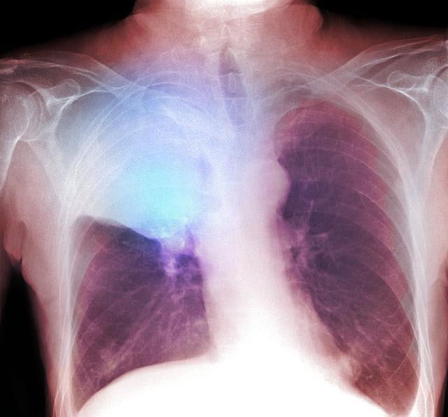
肺癌是一种相当高发的肺部恶性肿瘤,该病已经成为城镇人口恶性肿瘤发病率第一位,农村人口发病率第二位的致死性疾病,该病早期发现可以通过手术根治,中晚期发生淋巴结或者血液转移情况下,只能通过药物延长生命,无法得到根治,因此在其早期及时发现非常重要,那么为什么肺癌在早期很难被发现呢。

这是因为早期肺癌大部分没有任何症状,早期肺癌事实上是一个比较模糊的概念,并没有准确的定义,一般认为直径小于3cm,没有任何其他部位转移可以通过手术根治的肺癌称为早期肺癌,这样的肺癌基本上很难会有特异性的症状表现出来,很多时候,患者都是因为其他原因做胸部CT时才意外发现早期肺癌的存在,如果不做定期体检又没有其他原因需要做胸部CT,很难会想到去常规筛查。

要想早期发现肺癌,必须要做胸部CT定期体检,做胸片并不能及时发现1cm以下的以及隐藏在心脏后面的肺癌结节,胸部CT是发现早期肺癌的最好方法,大于1mm以上的结节都可以通过胸部CT发现,并可以准确的定位肺部结节的位置,测量结节的大小,观察结节的密度,对于某些密度较淡的磨玻璃结节需要考虑手术切除。

但这里要注意的是,有些中晚期的肺癌也不一定有特别明显以及准确指向肺癌的症状,但可以在体表发现一些线索,有这些线索或者症状的人需要到医院检查一下。
1、咳嗽伴有长期反复的痰血
痰中带血在中国最常见的原因有四个,肺结核,支气管扩张,肺癌,肺炎,其他还有一些较少见到的病因,如果有这样的症状需要检查胸部CT。
2、胸部被剧烈疼痛
胸背部出现持续的剧烈疼痛,无法缓解难以忍受,如果伴有咳嗽则更加需要到医院检查一下排除肺癌可能,

3、杵状指
手指头短期内出现增大增粗,指杆变化不大,十个手指出现同样的改变,每个手指头形似鼓槌,需要检查一下胸部CT,

4、颈部淋巴结肿大
在颈部摸到肿大的淋巴结,摸上去坚韧,压痛明显,不容易推动,不能排除恶性肿瘤转移时,需要检查一下胸部看是否为肺部肿瘤转移过来的。
这些简单而又容易判断的症状有利于提醒患者去医院检查,但大部分检查确定是肺部肿瘤是一般已是晚期,所以要想发现早期肺癌只有在没有任何症状的情况下定期复查胸部CT。
热门呼吸内科