编辑:ddayh.cn
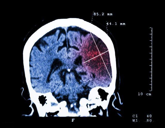
脑梗是大脑血管粥样硬化堵塞血管导致脑组织供血不足而引起的脑组织软化坏死所致的疾病,我们知道身体的一切机能都和大脑息息相关,无论是肌肉的运动还是对外界各种刺激的感觉都需要大脑的统一分析和指挥才能完成,因此,脑梗在发生前后都会有一定的特异性表现,做一些小的测验就能发现脑梗的早期症状,必要时到医院检查一下,在脑坏死还不太严重的时候就积极治疗,可以尽可能的保留大脑功能。具体的小测验如下。

双臂向前平伸,手心向上,十指张开,闭上眼睛倒数十秒。睁开眼睛看看,是否手臂下降或者手指弯曲了。如果有,则是前兆;

2.双臂向前平伸,十指张开并弯曲,好像握着一个球。双手同时旋转,即使加快速度,也不乱掉。如果双手不协调乱掉了,则是前兆;

3.找一个人帮忙,对方伸出食指。自己也伸出食指,在对方食指和自己的鼻尖上来回点,即使加快速度,也能精准点到。如果不能,则是前兆;

出现下述情况,也不能掉以轻心:
1、嗜睡 : 人感到非常疲倦,觉睡不够,就是白天也是睡意深沉。
2、哈欠频作 : 不分时间、地点、场合而情不自禁地频繁打哈欠。
3、刮胡症: 在刮剃胡须头转向一侧时,手臂突然失去握力,致使胡须工具落地,有时还伴有讲话不清,过1-2分钟完全恢复正常。
4、舌根发硬 : 忽然感觉舌根僵硬,舌头胀大,吞咽困难,说话不清,舌头并无红肿现象。
5、呛咳: 喝水或进食中出现呛咳,这是因为大脑缺血使吞咽神经中枢受到影响,导致咽部感觉丧失,反射失调,使得水或事物误入气管引起。

另外,脑梗在发作之前会有一定的其他系统的征兆,比如血压升的很高,情绪紧张,坐卧不安,身体说不出的不舒服,或者情绪的改变,要么兴奋不安,要么抑郁不语,如果有这些症状最好及时到医院检查一下。
热门呼吸内科