编辑:ddayh.cn
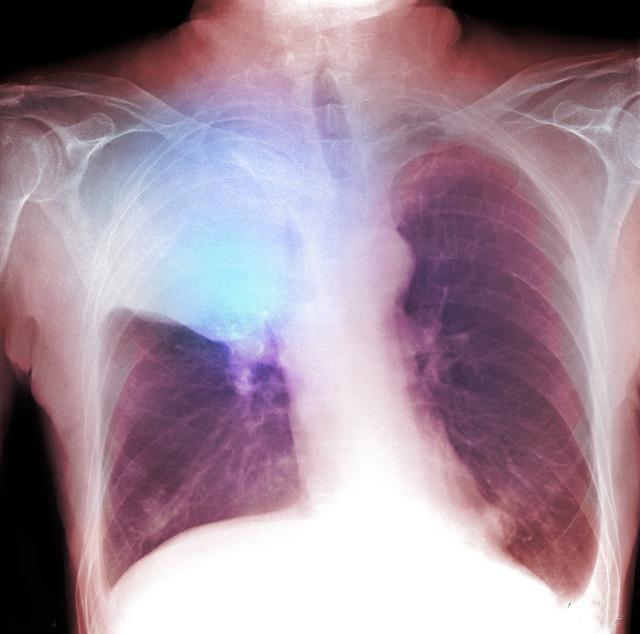
肺类癌属于少见性肿瘤,约占肺部肿瘤的1%-2%,占全部类癌的10.2%~11.5%,分中央型类癌和周围型类癌两种。肺类癌起源于支气管肺粘膜及粘膜下腺体的嗜银细胞,即Kulchitsky细胞。这些细胞浆内有神经内分泌颗粒,具有分泌功能。由于类癌属于神经内分泌肿瘤,有些文献报道部分类癌可以出现类癌综合症症状,表现为阵发性皮肤潮红、腹泻、哮喘、心动过速、面部充血、血压波动和紫绀,但出现此症状的病例较少,病人也可出现非特征性症状,例如胸痛、发热。

据报道,类癌患者的年龄幅度较大,可从10岁~83岁,中位年龄为45岁。临床根据类癌的生物学行为分为:分化较好的典型类癌和有侵袭性的不典型类癌,典型类癌占多数,非典型类癌仅占11.4%。典型性类癌预后较好,即使伴有同侧纵隔淋巴结转移,5、10和15年生存率分别为92%、88%、76%,而侵袭性不典型类癌的预后较差,5年和10年生存率分别为69%和24%~52%。预后与临床分期及淋巴结转移相关。典型类癌的平均年龄比非典型类癌要年轻10岁,而且它是儿童期最常见的肺部恶性肿瘤。类癌中央型多于周围性,这是因为越靠近中心支气管,粘膜内的K细胞分布越多,发生类癌的机会越大。

CT上肺类癌较其他肺癌钙化更常见,在组织学上肺类癌钙化的发生率约为30%,中心型类癌可高达39%。肺类癌转移少见,中央型肺类癌病程长,进展缓慢,倍增时间长,预后相对较好。支气管镜及活检病理对肺类癌的确诊率低,需要进一步免疫组化检测综合判断。对疑似类癌综合征的患者进行24h尿5-羟吲哚(5-HIAA)水平测定,如5-HIAA升高对类癌诊断有一定帮助。由于典型肺类癌预后较好,术后一般不考虑化疗。对于非典型类癌,5年和10年生存率比较低,不管有没有淋巴结的转移,目前还是推荐术后化疗。由于对化疗的敏感性较低,晚期患者化疗有效率不高。

热门呼吸内科