编辑:ddayh.cn
在医学上,癌(cancer)是指起源于上皮组织的恶性肿瘤,是恶性肿瘤中最常见的一类。相对应的,起源于间叶组织的恶性肿瘤统称为肉瘤。

机体在环境污染、化学污染(化学毒素)、电离辐射、自由基毒素、微生物(细菌、真菌、病毒等)及其代谢毒素、遗传因素、内分泌失衡、免疫功能紊乱等等各种致癌物质、致癌因素的作用下导致身体正常细胞发生癌变的结果,常表现为:局部组织的细胞异常增生而形成的局部肿块,由控制细胞生长增殖机制失常而引起的疾病。

除了生长失控外,癌症细胞还会局部侵入周遭正常组织器官,甚至经由血管或淋巴系统转移到身体其他部位。癌细胞脱落会种植到其他身体部位。说白了,癌细胞就是变异的正常细胞,形态变异,生长不受控制,无限增殖,生长过程中攫取身体的营养物质,使人体器官逐渐营养缺失。

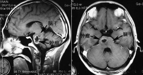
癌症最终死于什么原因?脑部肿瘤或者脑转移癌可出现脑水肿,脑疝,出现继发性癫痫,抽搐、昏迷,压迫呼吸中枢可引起死亡。其他癌症除非一些意外事件,比如肺癌突然的大咯血、突然的气道堵塞、胃癌消化道大出血、严重的梗阻或穿孔等。一般肿瘤晚期患者不会短期内或突然的死亡,都是一个缓慢过程,常见情况就是,患者进食越来越少、体力越来越弱、从能够自行活动到搀扶走到卧床不起、消瘦一日比一日明显,形成医学上所说的恶病质,虚弱到一定程度,患者会没有心跳呼吸迹象。所以,绝大多数癌症患者最终死于多器官功能衰竭。

肿瘤晚期的治疗相关性死亡也不容忽视,比如化疗,患者体质太弱,有时治疗的副反应,患者未必能耐受,可能引起死亡。虽然比例极低,但却有发生。更有甚者对化疗药物过敏,严重的过敏反应也会导致患者死亡。极少数人放疗后出现严重放射性肺炎,放射性肠炎,放射性脑炎,也会影响各脏器功能而危及生命。
热门呼吸内科