编辑:ddayh.cn
肺癌是一种人命关天的疾病,误诊的后果往往会对患者的家庭以及患者本人带来灭顶之灾,如果不是肺癌误诊为肺癌进行化疗放疗等对身体损害极大的治疗可能造成极为严重的后果,而如果是肺癌被误诊为其他疾病而耽误治疗,则可能失去最佳治疗时机而失去生命,因此确诊肺癌的标准必须是病理检查,必须从人体的病灶中取出组织细胞在显微镜下观察,找到肿瘤细胞才能确诊。

所以我们临床上所有的检查都是围绕取肿瘤标本展开的,以下是各项主要检查的主要作用和目的。
胸部CT
只有胸部CT才能准确的确定肿瘤的部位和大小,我们取标本主要是通过肺穿刺和气管镜来取,而做这两样检查的前提是要知道肿瘤所在的位置,没有胸部CT可以说医生是无法顺利完成上面这两样检查的。

气管镜
气管镜检查是用一根筷子粗细的软管通过鼻腔或者口腔插入到肺组织中进行检查的方法,我们在气管镜下可以做灌洗,刷检,看到有气管内新生物时还可以通过气管镜的活检通道伸钳子进去夹取标本,都可以在显微镜下做进一步的检查。

肺穿刺
肺穿刺是除了气管镜之外的重要活检办法,需要在CT或者B超的引导下找到病灶的准确的部位,用细针或者活检枪透过胸部皮肤传入肺部的病灶中,反复的抽吸或者直接切取大块标本做病理检查。

痰检找肿瘤细胞
取痰找肿瘤细胞可以说是痛苦最小,也是最便宜实惠的检查肿瘤的方法,痰中找到肿瘤细胞就可以明确肿瘤诊断,但相对来说成功的几率很小。

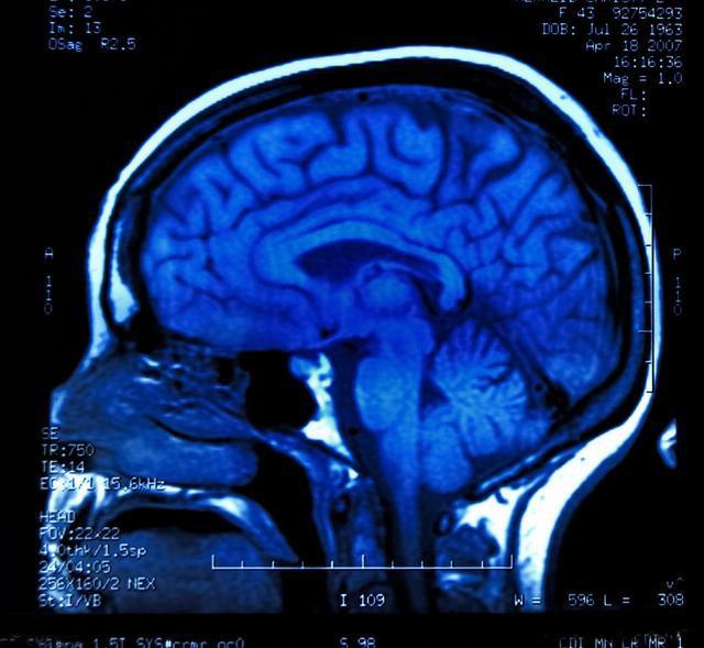
头颅磁共振
有人为查肺癌为什么要查头颅磁共振,这主要是看一下肺癌有没有转移到头部,因为一旦肺癌转移到大脑,会对患者的生存时间带来重要影响,需要针对脑局部的肿瘤病灶做单独的诊治。

空腹彩超
同样,空腹彩超主要是为了检查腹部的脏器有没有转移,有很多脏器的转移并不需要非常高大上的检查,彩超就可以明确。
全身骨显像
骨显像主要是为了检查是否有肺癌的骨转移,对于骨转移也是需要采取单独治疗的,比如局部的放疗以及唑来膦酸治疗。

所以肺癌的诊断需要非常慎重,不可以草率的诊断或者排除,否则可能造成非常严重的后果。
热门呼吸内科