编辑:ddayh.cn
胸片是重要的肺部检查项目之一,可以说是呼吸科医生的眼睛,在没有胸片之前的时代,肺部的病灶都是无法准确测量和观察其密度以及周边情况的,有了胸片很多疾病才得以准确的诊治,但胸片有其局限性,由于是使用二维看三维结构,形如将人拍扁印在一张纸上,所以病灶会受到周围组织阴影的干扰,甚至遮掩,比如心脏后面肺组织产生病灶有可能看不到,所以胸片看上去没有问题并不能完全排除肺部疾病的可能性。

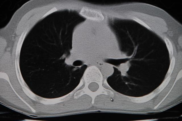
因此,检查类似于肿瘤这样的恶性疾病,不适合仅使用胸片,最好结合胸部CT来看,胸部CT的原理相当于将人体切片并一片一片的观察, 肺部上下前后的病灶都一览无遗,1mm以上的病灶基本上不会遗漏,尤其是1cm以下在胸片上看不出来的病灶在CT上可以明显看出来。

很多人纳闷,胸部CT上发现了肿瘤怎么还不能诊断,这就好比罪犯找到了,犯罪现场找到了为什么还不能定罪一样,有很多没有找到凶器并确认指纹的案件最后都成了冤假错案,我们诊断肿瘤不仅仅追求90%的准确率,往往需要100%确定才能给患者一个交代,肿瘤诊断上的讹错给患者和患者家庭带来的都是灭顶之灾,因此,在胸部CT找到了肿瘤病灶之后做进一步的有创检查成为必须,只有将肿瘤组织中的细胞或者组织块取出来放在显微镜下观察才能最终确诊病情,眼见才能为实。

接下来取标本的方式大致有四种:
1、痰检
这是最简单、最便宜也是最没有痛苦的肿瘤诊断方式,痰中找到肿瘤细胞就可以确诊病情,但我们痰液很多时候并不一定是来自于病灶组织,因此检出率非常低,很容易耽误病情,因此有其局限性。
2、气管镜检查
一根通着闭路电视的光纤管从鼻孔插入气管并进入肺内,观察气管内的情况,有时候能看到肿瘤长入到气管支气管中,这时候用一个带着钳子的导丝通过光纤管伸进去就可以钳夹到肿瘤组织出来活检,另外还可以进行灌洗和刷检来诊断病情。

3、肺穿刺
用一根针从皮肤扎入到肺内靠胸壁的肿瘤组织,接上50ml的针筒用力的抽吸,可以吸出一些细胞成分,另外还可以扎入较粗的活检针切取肿瘤组织中的组织块出来化验,也是确诊病情的重要手段。

4、手术
这是万不得已的方法,上述方式都试了一遍仍然不能明确诊断有强烈怀疑是肺癌的情况下,如果没有其他部位转移可以考虑手术切除,术中切除少量组织冰冻切片快速诊断,既诊断又治疗。

另外,肿瘤的诊断还需要做一些看起来不相关的检查,比如头颅磁共振,腹部B超,全身骨显像等,这些都是为了排除肿瘤全身其他部位转移的可能性。总之,肿瘤的诊断复杂而又需要系统性,经常要检查很长时间才能明确诊断。
热门呼吸内科