编辑:ddayh.cn
肺癌靶向药物目前比较常用的是针对EGFR基因的小分子口服靶向药,包括吉非替尼、厄洛替尼、埃克替尼,二代的阿法替尼,三代的针对T790M突变的奥西替尼。这些靶向药物给许多的肺癌患者带来希望,带来比较长的生存时间,靶向药物相比较化疗,毒副反应要小的多,不过部分病人也表现出比较大的副作用。

小分子靶向药物的毒副反应都比较雷同,比如皮疹、腹泻、甲沟炎、口腔溃疡、乏力、肝肾功能影响等,对肝肾功能也有一定的损害。如何处理肺癌靶向药的毒副反应非常重要。
1.皮疹 皮疹可以说是口服靶向药最常见的副作用,一般在服药7-10天后可能会出现不同程度的皮疹。呈粉刺或痤疮样,表现为:口唇、面颊、后背及臀部出现米粒大小的疱疹,出现难以忍受的瘙痒,有的甚至会化脓。轻微皮疹无需处理,瘙痒厉害时可局部使用百多邦、皮炎平、氢化可的松(1.0%或者2.5%)乳膏;皮肤干燥伴瘙痒者,可以使用薄酚甘油洗剂,一日两次或者苯海拉明软膏局部涂敷。如果皮疹范围较大,瘙痒等症状影响睡眠及日常生活,可口服开瑞坦及口服美满霉素(100mg 一日两次)。如果皮疹广泛,破溃或伴发感染,需考虑减少药物使用剂量甚至停药,选择适当的抗菌药物,必要时使用激素类药物甲强龙冲击治疗。平时注意保持皮肤清洁,减少日晒时间。沐浴后涂温和的润肤露或硅霜、维生素E软膏以预防皮肤干燥。吉非替尼和厄洛替尼使用中,出现痤疮样皮疹副反应的患者比没有出现的患者更有效。

2.甲沟炎 部分肺癌病人口服靶向药后出现甲沟炎,趾甲反复发炎,容易引起甲下脓肿,严重的有可能引起骨髓炎。所以有了甲沟炎一定要及时进行治疗。预防甲沟炎就是彻底修剪指甲,不让长进肉里。避免向指甲加压,不要穿紧鞋。红肿了用温水泡软,头孢粉调浆敷于患处。如果出现甲下化脓需要找外科医生处理。

3.腹泻 腹泻最常见发生在早餐一小时之后,伴腹痛,如厕时排出浆糊样便,甚至水泻。出现腹泻时可口服易蒙停联合蒙脱石散再加培菲康。水泻次数多且时间长者,最好至医院输液补液补钾,以防脱水,这时候靶向药物要减量或者暂停。腹泻期间要清淡饮食,不吃凉性食物和隔夜饭菜。便后要保持肛周清洁。

4.鼻腔出血:服易瑞沙、特罗凯期间,鼻腔里的毛细血管会自行破裂,血液渗出,血液会凝结于鼻孔里成黑红色干血块,堵塞鼻腔影响呼吸;如果鼻咽处有痰,吸吐出的痰里会见铁红色或鲜红色血丝或血块;从肺腔里咳出的痰。其实只要不是一口一口地咯血,这种痰里带血的现象是服用易瑞沙的正常表现之一,可不理会。如果鼻腔每天出血较多,鼻孔干血阻塞严重,可在睡觉时往鼻孔里涂眼药膏,目的是保湿,使鼻腔里的毛细血管破裂数量减少。不过只要每天抠鼻子时小心,动作轻柔,就不必涂眼药膏。

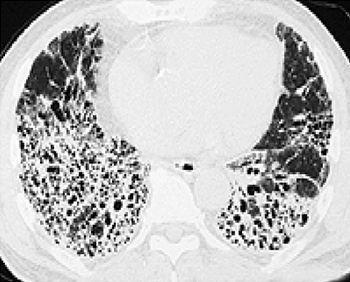
5.间质性肺炎 对于中国病人口服靶向药物后发生间质性肺炎的几率比较低,大概0.5-1%,出现胸闷,气喘加重时建议复查胸部CT,明确是否出现间质性肺炎,及时激素治疗,严重间质性肺炎病人需要停止用药。

6.血小板上升 针对肺癌的靶向药,比如易瑞沙等会引起血小板上升,一个月后逐渐升高,对于血小板超过正常值上限的患者,得每天服一片100毫克的“阿司匹林”,防止脑血栓、下肢静脉血栓形成。当血小板降到250以下可以停阿司匹林。

其他副作用包括恶心呕吐、乏力、肝肾功能损害等,一般发生率比较低,出现时可以减少用药剂量,同时给予止吐、保肝降酶治疗。
热门呼吸内科