编辑:ddayh.cn
肝癌号称癌中之王,大多数发现时都是中晚期,由于其恶性程度高,进展快,对放化疗不敏感,治疗效果差,预后一般都比较差,所以早期发现显得尤为重要。

如何早期发现肝癌??
肝癌早期是没有任何症状的,大部分早期病人是体检发现,或者因其他的疾病检查中无意中发现的。早期肝癌常用的检查方法包括:
1.抽血查AFP(甲胎蛋白)和AFU(α-L-岩藻糖苷酶) AFP是肝癌特异性抗原,有70-80%的肝癌病人会出现AFP不同程度的升高。AFU是是对原发性肝细胞性肝癌检测的又一敏感、特异的新标志物,原发性肝癌患者血清AFU活力显著高于其它各类疾患(包括良、恶性肿瘤)。同时检测AFU和AFP,可提高原发性肝癌的诊断率,有较好的互补作用。

肝癌治疗概念?
2.上腹部B超 上腹部B超作为常规体检项目,确实发现了不少肝癌患者,为很多病人获得了早期的治疗机会。超声是肝癌筛查的首选方法,具有方便性、价格低廉且无创等优点,超声能够检查出超过1cm的占位性病变。B超能够检查肝脏上有无肿瘤,但是否为恶性肿瘤还需进一步检查。

女医生为病人做超声波检查?
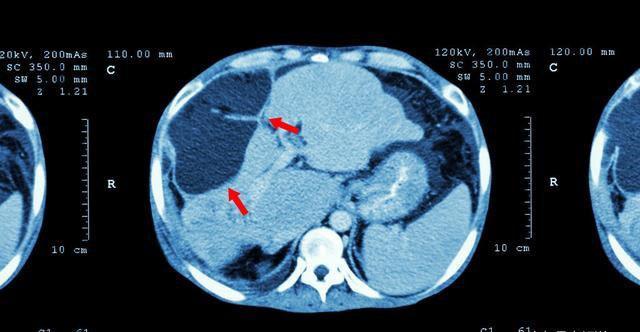
3.上腹部CT CT的分辨率远远高于超声,图像清晰而稳定,能全面客观地反映肝癌的特性,可用于肝癌常规诊断检查。CT增强扫描可清楚地显示肝癌的大小、数目、形态、部位、边界、肿瘤血供丰富程度,以及与肝内管道的关系。CT动态增强扫描可以显著提高小肝癌的检出率。

CT scan of upper abdomen : show abnormal mass at?
4.核磁共振 MRI具有很高的组织分辨率和多参数、多方位成像等特点,而且无辐射影响。应用肝脏特异性MRI造影剂增强扫描能够提高小肝癌检出率,对肝癌与肝脏局灶性增生结节、肝腺瘤等的鉴别亦有较大帮助。

在医院的 ct (计算机断层成像) 扫描仪?
高危人群的随访对早期发现肝癌尤为重要。普通人体检一年一次就可以,但是如果有家族乙肝病史、家族癌症病史、乙肝、肝硬化病人,需要六个月就检查一次。这时候的常规肿瘤标志物检查、B超等能够提供早期发现几率。如果有肝部不适就需要及时去医院检查。
热门呼吸内科