编辑:ddayh.cn
一
概述
1、定义
腰椎管狭窄症是一组慢性进行性脊髓、马尾及脊神经疾病。是由椎管发生的骨性和(或)纤维性狭窄引起的脊髓、马尾及脊神经根的压迫而出现相应的神经功能障碍。
2、历史
1910年Sumito 报道软骨发育不全发生椎管狭窄;
1911年Bailey报道退行性变增生所产生椎管狭窄;
1937年Parker报道黄韧带肥厚产生的椎管狭窄;
1954年Verbiest对椎管狭窄症作了系统介绍;
1955年Shlesinger第一次提出骨性侧隐窝的概念;
1972年Epstein提出狭窄可因发育性和退变性所致,以退变性多见。并指出神经根嵌压于侧隐窝亦可引起根性神经痛。目前此观点被普遍接受。
二 分类
1、根据病因分类:原发性腰椎管狭窄(3%)、继发性腰椎管狭窄(97%)。
原发性腰椎管狭窄(3%) :由于先天椎管发育不全,以致椎管本身和神经根管矢状径狭窄,使脊神经根或马尾神经遭受刺激和压迫,出现一系列临床症状。
继发性腰椎管狭窄(97%):由于后天因素(退变、外伤、失稳、畸形、新生物,炎症等)造成腰椎管内径小于正常值,产生一系列症状与体征。
原发性腰椎管狭窄常见病因为:1、先天性小椎管;2、软骨发育不良;3、先天性椎弓峡部裂及滑脱;4、先天性脊柱裂。
先天性小椎管
继发性腰椎管狭窄常见病因为:1、退行性变的脊椎骨性增生、黄韧带肥厚、后纵韧带钙化、侧隐窝狭窄、椎间盘病变等;2、创伤因素致脊柱骨折所遗留的畸形;3、椎弓峡部裂致椎体滑脱;4、脊柱侧弯以及其他一些骨病(例如Paget’s病等)。
2、根据临床症状和狭窄部位分类
中央型腰椎管狭窄:又称马尾间歇性跛行;? ? ?
神经根管型腰椎管狭窄:又称坐骨神经病变;? ? ?
混合型腰椎管狭窄:既有神经根受压,又有马尾神经受压。
三 腰椎生理发育
出生时,腰椎管呈卵圆形,但随着人体发育、成长、负重、运动及其它活动而使腰部负荷增加,则促使腰椎椎管朝着增加力学负荷强度的方向发展,至成年时腰5、骶1的椎管大多呈三角形和三叶草型。 ? ? ???
腰椎椎管发育过程
成人腰椎管形态示意图
四 解剖特点
L1以下脊髓变为马尾神经,向下、后、外经神经根管出椎间孔;椎管狭窄、小关节退变、增生可使神经根管及椎间孔狭窄,刺激或压迫马尾神经,出现相应症状。
脊柱的结构和生理弯曲
腰椎及神经走行
腰椎管:
前壁:椎体后面、椎间盘后缘及后纵韧带;
侧壁:两侧椎弓根;
后壁:椎板、后关节和黄韧带;
椎管内有硬膜囊、硬膜外脂肪组织、血管及神经根,囊内腰2以上为脊髓圆锥及神经根,腰2以下为马尾神经。
腰椎管解剖
侧隐窝(Lateral recess):椎管向侧方延伸的狭窄间隙,主要存在于三叶形椎管,即存在于下位两个腰椎处。侧隐窝分为上下两部分,上部为骨关节部,下部为骨性部。
侧隐窝解剖
侧隐窝上部为骨关节部(盘-黄间隙),其前为椎间盘纤维环、椎体上后缘,后为上关节突冠状部、关节囊、黄韧带及下关节突前缘外为椎间孔狭窄部。内向硬脊膜囊开放。
侧隐窝下部为骨性部,其前为椎体后面 ?;后为椎板峡部;内侧为硬膜囊;外侧为椎弓根;外下延续椎间孔内口,呈一扁三角形间隙。侧隐窝内含有离开硬膜囊后穿出椎间孔前的一段神经。
前纵韧带
后纵韧带
五 发病机理
腰椎管狭窄症模式图
六 病理
引起椎管狭窄的病理改变是多方面: ??
1、椎体后缘骨质增生,后纵韧带肥厚、骨化,椎间盘后突。? ? ?
2、关节突肥大增生,从后方造成侧隐窝狭窄,压迫神经根。? ? ?
3、椎弓根短缩或内聚,造成椎管矢状径和横径狭窄。? ? ?
4、黄韧带增厚,从侧方、侧后方及后方造成椎管狭窄。
5、椎板增厚,从侧后方及后方压迫硬膜及马尾神经。椎间盘退变致椎间隙变窄。? ??
6、椎体滑脱,由于上下椎体的相对前后移位而造成椎管狭窄。? ??
7、硬膜外病变(如硬膜外脂肪增生及纤维化,硬膜外束带、粘连等)造成椎管狭窄。
常见病理原因引起椎管狭窄
神经根被嵌压于膨出椎间盘和椎弓根之间
A处椎弓根压迫神经根;B处小关节压迫神经根
半脱位的上关节尖端压迫神经根
肥大增生的上关节突压迫神经根
七 临床表现
(一)症状
1、间歇性跛行:当患者步行一定距离(数米-数百米)后,出现一侧和双侧腰酸、腿疼、下肢麻木、无力以致跛行,当蹲下或坐下休息数分钟后有可继续步行,但距离较正常人为短。因有间歇期,故名间歇性跛行。严重者不能下地行走。
间歇性跛行的鉴别
2、腰部后伸受限及疼痛:当腰椎由中立位到后伸位时,椎管后方的小关节囊及黄韧带挤向椎管,椎管长度亦缩短2.2mm,椎间孔变窄,以致管腔内压力急剧增高,并由此出现各种症状。
3、主述与客观检查的不符合:病程早期,由于椎管狭窄使椎管及神经根管容积降至正常低限,当患者处于各种增加椎管内压的被迫体位时,主述多。而就诊时因经短暂休息,故客观检查常为阴性。
4、除上述三大症状外,临床还可以出现以下症状和体征:
(1)腰部症状:主要表现为腰痛、无力、易疲劳,但屈颈试验阴性。?
(2)下肢根性症状:多为双侧性,可与腰椎间盘突出症相似,尤以步行时为甚,但休息后缓解或消失。
? ? ?
5、慢性病程反复发作。
(二)体征
病人症状与体征多不一致,一般症状重而体征轻。病人常有脊柱侧弯、病处压痛,椎旁肌肉痉挛,腰后伸受限,腰过伸试验阳性是本症的重要体征。患侧足趾被伸肌力减弱,膝、踝放射减弱或亢进,受压神经支配区感觉减退。
有些患者下肢肌肉萎缩、无力、鞍区麻木、肛门括约肌松弛,直腿抬高试验无明显的放射性疼痛。
八 辅助检查
1、X线检查:脊柱曲度的改变;椎间隙变窄;椎体缘骨赘;关节突关节退变肥大;椎体滑脱;神经根管狭窄伴有椎间关节半脱位。
上椎体下缘的后延线不是穿越下椎体上关节突的端,而是穿过中间;正位片显示:正常的“S”弧线消失
2、椎管造影:椎管造影在诊断椎管狭窄症中有重要价值。能直接在荧光透视下动态观察造影剂在椎管内流动情况。显示椎管、硬膜囊、神经根袖全貌。
但椎管造影为有创性检查,患者不易接受。侧隐窝病变不能清晰显示,不能显示椎管横断面骨和神经根形态。
腰椎管狭窄者椎管造影均有不同程度的造影剂充盈缺损。完全梗阻断处常呈幕帘状、笔尖状,弹头状样充盈缺损。不完全梗阻断处常呈点滴状通过,其结果呈葫芦状、哑铃状或灯笼状等。
前屈后伸位造影对比
椎管造影
中央型椎管狭窄突出
椎管造影
造影斜位可清晰显示神经根袖
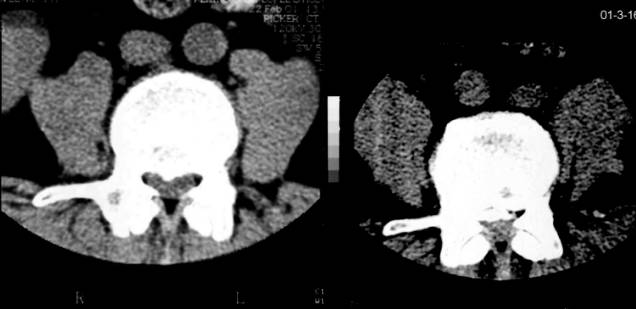
3、CT检查:可取之处在于可准确显示异常组织的性质,直接显示椎间盘突出的真实性质和范围。可清楚地显示椎管横断面的骨性结构,对侧隐窝狭窄,黄韧带肥厚,椎间关节病变及神经孔周围极外型椎间盘突出的显示有独特的临床价值。
但此检查不足之处在于对软组织分辨率低,不能直接进行矢状面、斜面扫描。对纤维环膨出显示较模糊,有假阳性情况。
椎体后方静脉孔处的骨质间隔,不要误认为后纵韧带骨化
椎管狭窄并间盘突出
椎管狭窄
中央性椎管狭窄
侧隐窝狭窄
4、CTM检查:为了使诊断定位更准确,在用水溶性造影剂行椎管造影后,即进行CT检查。实践证明CTM能进一步提高诊断率。
5、MRI检查:此检查能进行横断面、矢状面、斜切面的扫描。软组织显示好,尤其对髓内病变诊断率高。
椎管狭窄硬膜囊受压
神经根管狭窄
6、腰椎管测量:在脊柱横轴CT检查中,对椎管的大小可以从五方面分析:
椎管前后径(矢状径):平均值16-17mm,下限11.5mm;
椎弓根间径(椎管横径):平均值20-30mm,下限16mm;
关节间径:L1约15(9-24)mm、L3约18(9-27)mm、L5约24(9-39)mm;
椎管面积测量:平均值2.1-2.4c㎡,下限1.45c㎡;
侧隐窝宽度:L2约13 (6-21)mm、L3约12 (6-18)mm、L4约13 (4-20)mm、L5约7 ?(2-15)mm、S1约6 ?(2-14)mm。
腰椎管测量:1、椎管前后径;2、椎弓根间径;3、椎管;4、侧隐窝宽度;5、椎板间径
九 诊断
原发性腰椎管狭窄
临床症状特点:一般病例依据前述三大症状可作出较明确的诊断。
X线平片:可明确显示椎管矢状径较正常为狭小,其绝对值于15mm,甚至在12mm以下,个别病例不足10mm。
脊髓造影:显示典型“蜂腰状”缺损,根袖受压及阶段性狭窄等影像。
继发性腰椎管狭窄? ? ? ? ? ?
诊断要点与原发性腰椎管狭窄相似,均继发于各种病变之后,因此在诊断顺序上,应将原发病置于继发性椎管狭窄之前。
十 鉴别诊断
(一)椎间盘突出症:为最易混淆的疾患。其鉴别要点为:? ??
1、本病一般不具有三大症状。? ? ?
2、根性症状十分剧烈,且出现相应体征改变。? ? ?
3、屈颈试验和直腿抬高试验多阳性,椎管狭窄症是则阴性,但根管严重狭窄者可为阳性。? ?
4、必要时可行MRI或脊髓造影检查。
在临床上二者伴发并不少见,约占15%到25%。如将临床上无症状的“突出”包括在内,则伴发率更高,可达40%以上。在伴发情况下,患者同时出现两组症状与体征,如能认真检查,在诊断上多无困难。
(二)坐骨神经盆腔出口狭窄症:其鉴别要点为:腰部多无症状,腰椎后伸范围正常;压痛点主要位于环跳穴处;有典型的坐骨神经干受累症状。
(三)腰段继发性粘连性蛛网膜炎:本病同腰椎管狭窄有一定因果关系,椎管尤其当神经根管长期受压,可继发本病。并多从根袖处开始,逐渐发展至全蛛网膜下腔。因此,对一个长期患腰椎管狭窄症病例,如拟手术,则不一定需要在术前鉴别。
(四)马尾部肿瘤:早期难以鉴别,中、晚期主要临床表现为:以持续性双下肢及膀胱直肠症状为特点。疼痛呈持续性加剧,尤以夜间为甚,非用强效止痛剂方可入眠。腰穿多显示蛛网膜下腔梗阻,蛋白含量升高及潘氏试验阳性。
(五)其他:本病尚应与下腰椎不稳症、增生性脊椎炎、腰椎其他先天性畸形、腰椎感染及慢性腰肌劳损等鉴别。
十一 治疗
(一)保守治疗
1、指征:适用于轻度腰椎管狭窄,症状较轻,并对生活、工作影响不严重者。普遍认为,腰椎管狭窄症总的自然发展趋向不良,应尽早手术。
2、方法:1、卧床休息;2、消炎止痛药物治疗;3、物理治疗;4、骨盆牵引;5、腰背肌锻炼;6、腰围保护。
?1、卧床休息:发病初期卧床休息是一个较好的缓解症状的方法。卧床后局部静脉回流改善,无菌性炎症反应(充血、水肿)消退,椎管内的狭窄得以缓解,加上腰背肌放松,一般卧床2周主观症状会减轻。
?2、消炎止痛药物治疗:应用药物吲哚美辛(消炎痛)、布洛芬、奇曼丁、芬必得等,可部分缓解症状。
?3、物理治疗:局部可消除炎症,解除肌肉痉挛,缓解症状,局部热敷也可使用。
4、骨盆牵引:可拉开关节间和椎间距离以缓解受压神经,消除充血、水肿以达到缓解症状。
5、腰背肌锻炼:脊柱的不稳定程度与腰背肌肌力、骨质疏松程度有关系。腰背肌锻炼目的在于加强腰椎稳定性,有助减缓脊柱退行性变的速度。
腰肌强壮者临床症状一般较轻,而且发作次数减少,手术后锻炼腰背肌又可加快腰部功能的恢复以达到较好的疗效。
6、腰围保护:目的在于加强脊柱稳定性,对滑脱继发椎管狭窄者效果较好,使用后症状能迅速改善。但长期应用腰围可促使腰肌萎缩,会导致腰围依赖,因此,应避免长期使用腰围。
(二)手术治疗
1、指征:(1)症状、体征严重影响生活、工作,经系统保守治疗3个月以上明显无效者。(2)神经根和马尾神经广泛被压受损或瘫痪者。(3)腰椎间盘突出合并腰椎管狭窄者。(4)椎管狭窄合并腰椎峡部不连与滑脱。(5)经椎管造影、CT、MRI证实有局部明显狭窄伴有相应的临床症状者。
2、原则:(1)腰椎管狭窄症的治疗以手术为主,对椎管及神经根管准确而彻底的减压是治疗成功的关键。(2)术前应明确定位,减压的区域应是引起相应的临床表现的部位,对所有狭窄节段和部位进行充分减压。(3)在彻底解除压迫因素前提下,尽可能的少破坏结构,尽量保持脊柱的稳定性。(4)对于多节段椎管狭窄病人,减压术后对脊柱稳定性影响较大时,应同时作腰椎内固定。(5)腰椎管狭窄合并腰椎不稳的病人,在彻底减压同时亦行腰椎内固定术。(6)术中发现硬膜囊增厚、纤维化等病变时,应切开硬膜,行神经探查、松解术。
3、方法:单纯黄韧带切除术;局限性腰椎管及根管后方减压术;常规腰椎管减压术;腰椎管扩大减压术;腰椎管成形术;腰椎管减压、内固定术。
腰椎管减压内固定术
十二 康复训练
1、康复训练的意义:缓解症状;增加腰椎稳定性;防止神经根粘连;减轻椎间压力;促进植骨或周围组织修复;防止静脉血栓形成;促进血液循环,防止皮肤受损;提高手术疗效,恢复潜在功能。
2、术前康复训练:术前康复训练对缓解症状,增加腰椎稳定性,减轻椎间压力有一定作用。而伴有严重椎管狭窄,大小便失禁,康复训练效果不佳。
3、术后康复训练:手术后无严重心肺疾患,无失血过多,均可行功能锻炼。适当的功能锻炼可加速功能恢复,减少术后并发症。
4、康复训练的方法:物理治疗;运动疗法;激素药物局部注射;心理治疗。
牵引
围腰支具
运动治疗:仰卧位,头、双肘、双足支撑
仰卧位,双手、双足支撑
仰卧位,头、双足
俯卧位,头肩及双下肢同时上翘。(燕飞)
5、康复训练的注意事项:个别对待;从远到近;由被动到主动;手法由轻到重。
热门骨伤科