编辑:ddayh.cn
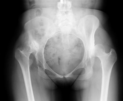
背景:外科医生进行高脱位的髋关节发育不良相关的全髋关节置换术时,获得长期稳定的植入物固定和优化患者功能仍然是巨大的挑战。本文的目的是评估一组非骨水泥全髋关节置换同时行股骨转子下短缩截骨的结果。
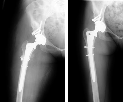
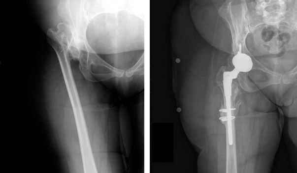
方法:在一项回顾性研究中,我们评估了24例非骨水泥全髋关节置换术的结果和并发症,共 24例(20例女性和4例男性)Crowe型IV型发育不良。采用非骨水泥全髋关节置换术结合转子下缩短截骨术,将髋臼假体放置在解剖学旋转中心的水平处。术后平均随访4.8年,对患者进行评估。
结果:平均的Harris髋关节评分从术前的 43 分提高到了最终随访时的 89 分(p <0.01)。 28 个髋中有12个(43%)发生了早期或晚期并发症或再次手术。28例转子下截骨术中有2例(7%)发生骨不连。有1例股骨柄松动,1个髋臼假体松动,1个髋臼内衬脱离。术后有4例髋关节脱位。在最后一次随访时,其余组件均固定良好。未发现坐骨神经损伤的病例。
结论:在髋关节发育不良继发高位髋关节脱位的患者中,非骨水泥全髋关节置换术结合股骨转子下缩短截骨术可以成功固定植入物和获得截骨部位愈合,平均术后Harris髋关节评分89分。 然而,这一类患者术后的并发症发生率显著高于骨关节炎的初次全髋关节置换术。









热门中医儿科