编辑:ddayh.cn
急性右上腹疼痛(RUQ)是门诊和急诊的常见症状。2012 年,美国 RUQ 患者就诊量超过 100 万。引起 RUQ 病因众多(表 1),其中主要见于肝胆疾病。超声是诊断胆囊结石和胆囊炎的首选检查,可准确鉴别引起 RUQ 的病因,如肾绞痛、胆绞痛、胰腺炎、肾上腺出血、肝脓肿等,从而可指导进一步治疗。
因此,了解超声在 RUQ 应用中的优势和局限显得尤为重要。美国学者 Revzin 等对大量 RUQ 超声检查患者进行了回顾性的分析,文章于 2017 年 8 月提前发表?J Ultrasound Med 杂志上。
表1 右上腹疼痛的病因

目前,胆囊核素显像诊断急性胆囊炎特异性和灵敏度分别为 90% 和 96%。但由于无法评估胆道外病变,且存在辐射和检查时间长等缺点,因此临床应用受限。增强 CT 可显示胆囊及周围组织,但是存在辐射、费用高、造影剂过敏、不能发现射线可透的阴性结石。磁共振胆胰管造影(MRCP)诊断率与超声检查相近,对胆囊壁水肿、结石、胆周积液的检出有较大优势,但费用高、设备少、幽闭恐惧症、体内有金属物为禁忌。
与上述检查方式相比,超声既可观察结石移动,又可了解结石嵌顿情况。当超声诊断不明或出现严重并发症时,可选择 MRCP,寻找梗阻病因。由于导致 RUQ 的病因较多,因此临床医生选择合适的检查方式尤为重要。超声因其准确性高、价格低、安全、病人接受度高而成为高度怀疑急性胆囊炎患者的检查首选。作者对比了几种影像学检查手段的优势与局限性。
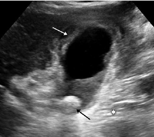
超声表现:胆囊增大,结石,胆壁增厚、充血,胆周积液、超声墨菲斯征阳性(图 1)。当胆囊结石、囊壁增厚、超声墨菲斯征阳性三种表现同时出现时,诊断急性胆囊炎阳性预测值为 94%。

图?1 72 岁男性急性胆囊炎,墨菲斯征(+),超声表现为胆囊增大,宽径>4 cm,胆壁不规则增厚(白色箭头),颈部结石嵌顿(黑色箭头),周围出现脂肪回声、伴炎性变(*)90%~95% 的急性胆囊炎伴结石,超声表现为强回声伴后方声影,特别是直径大于 3 mm,后方出现闪烁伪像。结石嵌顿时(图 1),改变体位结石不移动。胆囊扩张多由胆管阻塞引起。正常胆囊长径可达 10 cm,宽径<3 cm,宽径增大更有意义。急性胆囊炎通常胆壁增厚>3 mm、毛糙、层次欠清。胆囊壁测量应在前壁垂直进行(图 1)。
早期胆囊壁充血,而晚期由于囊壁缺血、过度扩张和严重水肿,血流信号无法探测。只有 33% 的坏疽性胆囊炎患者出现超声墨菲斯征阳性,因此超声墨菲斯征阳性因其特异性低和评估困难在诊断可疑急性胆囊炎方面存在局限。当扩大或缩小的胆囊周围出现积液(图 2),或邻近肝实质内出现肝脓肿(图 3),应高度怀疑坏疽性胆囊炎,此时胆囊超声表现为黏膜脱垂、囊壁不对称、隆起、凸入囊腔。
胆囊穿孔时可出现囊壁中断,探头加压可观察到穿孔部位胆汁流动。气肿性胆囊炎超声表现为胆壁非游离面或腔内出现强回声(气体), 伴有「不清洁」声影或振铃伪像(图 4)。改变体位可区别胆囊积气和结石。


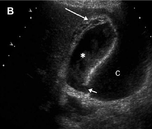
图?2 ?图 A 为60 岁男性坏疽性胆囊炎,右上腹疼痛 7 天,发热,败血症。超声表现为胆囊增大、胆泥淤积(*),胆囊壁不连续(长箭头),黏膜剥离(弯曲箭头),周围相邻肝内可见?4.6 cm×5.5 cm 脓肿(短箭头);图 B 示另一患者胆囊颈部粘膜中断伴胆囊周围积液(c)。胆囊壁增厚,条纹状弱回声带,胆汁淤积



图 3 73 岁男性坏疽性胆囊炎,败血症、肝功能异常、直接胆红素升高。图 A 为超声矢状切面示胆囊轻度增大(*)伴囊壁增厚,胆囊旁肝实质内不规则低回声(短箭头),无血流信号;图 B 为左侧卧位,超声表现为胆囊壁缺损(长箭头)伴邻近肝实质内低回声(短箭头),提示胆囊穿孔和脓肿形成;图 C 为增强 CT 冠状面,示胆囊轻度增大(*),胆囊旁肝实质内不规则低密度区,提示脓肿形成
图 4 75 岁男性气肿性胆囊炎。超声示胆囊增大伴胆泥淤积、结石(短箭头),胆囊非游离面出现短线状回声,后方伴「不清洁」声影,囊壁轻度增厚 >3 mm,胆囊旁出现脂肪回声(*)
胆绞痛通常由胆囊管结石一过性嵌顿或结石下移至胆总管引起,典型胆绞痛持续 1~3 小时,伴恶心、呕吐。若不予治疗,20% 的胆绞痛可发展为急性胆囊炎。因超声诊断胆石病准确率达 90% 以上,故首选超声。
胆总管结石超声表现为胆总管内强回声伴后方声影、近端胆管扩张(图 5),超声探测胆管直径灵敏度约 55%~91%。胆囊切除术后胆管中段直径>7 mm 属于正常范围。若超声未发现结石,应行 MRCP 寻找病因。



图 5 85 岁女性阵发性 RUQ 证实为胆总管结石。图 A 超声表现为轻度扩张的胆总管内结石(白色箭头)伴后方声影;图 B 为充满型胆囊结石(白色箭头),肝内胆管中度扩张;图 C 为次日行内镜逆行胆胰管造影示胆总管内数个充盈缺损(黑色箭头)
超声诊断直径>2 cm?肝脓肿的灵敏度为 86%~96%,而增强 CT 诊断小肝脓肿(直径<5 mm)的灵敏度为 95%~100%。 脓肿初期,超声表现为低回声,偶伴后方回声增强。若由产气细菌引起,脓腔内可见气体(图 6)。脓肿亚急性期和慢性期则可形成数毫米至 1.5 cm 脓肿壁,内回声增高(图?7)。脓肿内出血则额表现为内部混杂高回声。
肝转移通常多发,也可单发,超声表现为低回声、高回声、局灶性病变伴周边低回声靶征,此时应常规扫查门静脉。

图?6 67 岁男性肝脓肿,RUQ 伴白细胞升高。图 A 超声示肝内回声增强,内部混响伪像,与肝内含气脓肿相符;图 B 为增强 CT 冠状面,示肝右叶含气脓肿



图?7 58 岁男性肝脓肿,发热、败血症、白细胞升高、肝功能异常、RUQ。图 A 和 B 示肝左叶巨大混合性回声,内见囊性及实性部分,实性部分见分隔及血流信号;图 C 为 MRI T1 增强,示实性部分轻度增强?
右肾病变临床表现与急性胆囊炎相似。超声探测泌尿系统梗阻的总灵敏度约 73%~100%,超声检测肾结石的灵敏度高于腹部平片,但低于非增强 CT。
超声诊断急性胰腺炎灵敏度和特异度较低,表现为胰腺增大,回声减低,胰周炎性渗液(图 8),但早期超声表现可正常,因此超声不可用于急性胰腺炎的排除诊断。

图?8 34 岁男性急性胰腺炎,脂肪酶、淀粉酶升高,RUQ。超声示胰腺(P)增大,回声减低,胰腺前方少量游离性积液 (箭头)
肾上腺出血多为抗凝治疗不佳或肿瘤内出血引起,超声表现为肾上腺增大伴回声不均,可见低至无回声。若为肿瘤伴内部出血,则其内可见血流信号,而创伤或凝血功能异常导致的出血,其内无法探及血流信号(图 9)。


图?9 76 岁女性 RUQ,肾上腺亚急性出血,INR 11。超声示肝右叶下缘和右肾包膜外混合性回声肿块,无血流信号。一天前行腹部非增强 CT 未见明显肿块
总之,RUQ 是临床常见症状,超声通常作为急性胆囊炎诊断的首选,并可鉴别其他 RUQ 常见病因。当超声诊断不明确或出现严重并发症时可选择 CT 等其他影像学检查。
热门外科