编辑:ddayh.cn
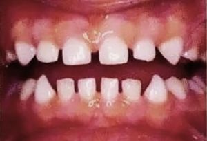
孩子健康的乳牙是这样的:
如果没有好好地护理,乳牙蛀了,刚开始是这样的:
隔壁的邻居说,乳牙迟早要换,不用管,然后就变成这样了:
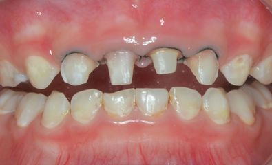
情况越来越严重,家长开始着急,村头摆地摊“100块种牙”的老大爷又说了:“这算事儿吗?换牙就好了,一点不影响!”于是,牙齿就变成这样了:
最后宝宝的乳牙全部龋坏,长出来的恒牙也是歪歪斜斜,家长后悔也来不及了。 据《第三次全国口腔健康流行病学抽样调查结果》显示,我国5岁儿童乳牙龋病的患病率为66.0%,也就是说,5岁以下的儿童里,每三个孩子中就有两人患龋齿! 多么惊人的数字!那么,到底是什么原因导致了孩子蛀牙呢?
乳牙龋齿形成的原因
1、与恒牙相比,乳牙的钙化程度低、耐酸性差,所以更容易受酸性物质腐蚀; 2、在饮食上,孩子多吃细软的食物,譬如粥、酸奶、果汁、糕点、手指类零食,这些食物含糖高又容易附着在牙齿表面,如果不及时清理,乳牙很容易被细菌粘附,从而导致龋齿;
3、孩子在长牙过程中,牙齿缝隙大,更容易有食物残留,如果不刷牙或者刷不干净,没有培养良好的口腔卫生习惯,食物残屑在细菌作用下很快会发酵产酸,腐蚀牙齿,最终引发龋齿; 4、家长观念错误,认为乳牙迟早会被恒牙换掉,清洁不重要,即使龋齿也不用担心。
但是,你知道吗,有些乳牙的使用时间长达10年呢! 平均来讲,孩子6个月前后开始长牙,6岁进入换牙期,12岁才会换完所有的牙齿。这就意味着,宝宝6个月大时长的牙,要到6岁才开始换;宝宝2岁时长的牙,要用到12岁才换呢! 因此,乳牙健康问题不容忽视,如果孩子乳牙蛀牙了不去管,孩子要忍受很多年的牙病折磨,甚至影响后续恒牙的萌出。
乳牙龋齿的危害
1、咀嚼功能下降,消化吸收、生长发育都受影响 一旦龋病侵害到牙髓,遇到冷热酸甜刺激,都会造成牙痛,孩子不敢用患牙咀嚼,降低了咀嚼功能。而食物不能被充分咀嚼,就会影响消化和吸收。由于牙齿不好咬,孩子还可能偏食,挑软的、好吞咽的食物,而不愿意吃含纤维素较多、需要充分咀嚼的蔬菜,这些都会导致营养不良,影响孩子的生长发育。 2、单侧咀嚼时间长,孩子变成大小脸 无论是龋齿造成的牙痛,还是牙齿被蛀洞无法使用,都会造成孩子长时间用单侧咀嚼,时间长了会形成咬肌不对称,可能造成孩子双侧面部发育不对称,影响咬合和面部美观。
3、乳牙龋齿,恒牙也长不好 除了咀嚼作用,乳牙对于恒牙的萌出还起着引导作用,因为龋齿,乳牙牙冠因龋缺损或出现早失,可能导致恒牙萌出间隙不足错合,畸形等。
另外,如果乳牙的龋病很深可能造成根尖炎,这可能影响后继恒牙的釉质发育,使萌出的恒牙表面不光滑,有白斑或表面缺损。 4、影响发音与美观,易产生自卑心理 乳牙严重龋坏,影响孩子的发音与面容美观。不仅如此,3岁的宝宝就已经有自尊心,不喜欢被别人笑话。因此当小朋友牙齿龋坏,会因为别人的嘲笑而不敢咧嘴笑,时间久了,甚至会影响自信,影响性格发展及心理健康。
怎样预防孩子龋齿
1、最好不要让孩子含着奶瓶睡觉,减少夜奶的次数。
2、定期口腔检查,发现问题即刻解决,可以在龋洞特别小时进行治疗,这样孩子疼痛感几乎没有。 3、减少零食甜食摄入,注意口腔清洁。在乳牙萌出后,家长可以用纱布裹在手指头上轻轻给孩子擦拭前牙,一般一周岁后就可以用儿童牙刷和儿童专用牙膏刷牙了。
4、可进行全口涂氟和窝沟封闭。窝沟封闭是专门针对牙齿发育时候的儿童进行的一种能有效增强牙齿抗龋能力的技术,具体来说就是将一种高分子复合树脂材料,涂在儿童牙齿窝沟内,液态的树脂在进入窝沟后固化变硬,形成一层保护性的屏障,使牙齿免受食物和细菌的侵蚀,从而增强牙齿抗龋能力。
窝沟封闭的最佳年龄是3-4岁、6-7岁、11-13岁,分别为乳磨牙、第一恒磨牙、第二恒磨牙封闭。 5、一旦发现孩子有龋齿现象,应及时就医,让宝宝有病早治,无病预防。一般来讲,0~5 岁期间每隔 2~3 个月检查一次 ;6~12 岁期间每隔半年检查一次 ;12 岁以上每年检查一次。
乳牙龋齿如何治疗
1、乳牙不要轻易拔除 宝宝的乳牙不仅担任咀嚼的重任,还有诱导恒牙萌出的作用。缺失乳牙,不仅让宝宝无法享受美食,对恒牙的萌出也有一定影响,并且不利于牙间距的保持,这样长出的恒牙很可能会牙列不齐、咬合紊乱。所以对于坏掉的乳牙要尽量修补,而不是轻易拔除。 2、乳牙坏到牙髓需做根管治疗 如果宝宝乳牙龋洞很深,已经坏到牙龈了,那就需要进行根管治疗。虽然在原则上,宝宝的乳牙根管治疗与成人是一致的,但是方法以及材料都是专为儿童设计的的。 3、必要时及时拔除龋齿 有些牙冠,牙根已经龋坏严重且经常发炎,无法修补并且没有继续保留的价值的,是需要也是可以拔除的。不拔除龋坏严重的乳牙只会增加孩子的疼痛,严重降低生活质量;而且,孩子牙痛往往就会偏侧咀嚼,这对颌面部的发育也是有影响;当牙髓炎症蔓延到牙槽骨时,就会影响恒牙胚的正常发育。 总之,爸爸妈妈们一定要培养孩子良好的口腔习惯,定期带孩子进行口腔检查。如果发现孩子乳牙有了龋坏的情况,千万不能抱着“换完牙就好了”的念头,早发现、早治疗,避免让孩子终身受苦。 如果家里是老人带娃,对刷牙、看牙医不那么在意或认同,可以将这篇文章转给他看看,能够对一些错误观念有所改变。
热门中医儿科